Laser ablation is an advanced treatment with remarkable patient outcomes, quick recovery times and lower risks of complications, but that doesn’t mean it should be used for every pediatric patient that’s a potential candidate.
“There are three applications of laser ablation that are well-accepted in the pediatric population: insular seizure focus, small brain tumors and atonic (or drop) seizures,” explains Angela Price, M.D., Pediatric Neurosurgeon at Children’s Health℠ and Associate Professor at UT Southwestern.
Since 2014, Dr. Price and her neurosurgery team have been world leaders in adopting laser ablation for pediatric patients with drug-resistant epilepsy and brain tumors. To date, Dr. Price has performed 44 laser ablation treatments in children ranging from 5 to 18 years old. We recently sat down with her to discuss the three applications that can make the biggest difference for patients, as well as corresponding case studies that illustrate this innovative treatment’s impact.
1. Insular Seizure Focus
When a patient with drug-resistant epilepsy has seizures originating from an area that can be pinpointed, they’re typically evaluated for resective surgery. If that pinpointed area is deep in the insular brain, an open resective procedure involves operating through overlying brain tissue or retracting on adjacent brain tissue to reach it. But laser ablation can offer a less invasive alternative in some cases.
“As a Level IV epilepsy center, we use stereo EEG and the ROSA™ robot to determine which patients are good epilepsy surgery candidates and the best procedure for them,” Dr. Price says.
In a stereo EEG, we place up to 18 electrodes in the brain. ROSA enables us to accurately place all electrodes in three hours compared to 45 minutes per electrode for manual placement. The stereo EEG results guide us in the next steps to better control seizures for these patients. Some patients are considered candidates for laser ablation if a stereo EEG:
Pinpoints one or two seizure foci.
Confirms the size of the focus is 3 cubic centimeters or less.
Shows the seizure foci are in an area of the brain not easily accessible by resection.
“With laser ablation, I can place a fiber directly into the area and ablate. So, for a patient with an insular seizure focus, the risk to the surrounding brain is significantly smaller than with open resection,” Dr. Price says, “and the risk to the part of the brain that I’ve ablated would be the same.”
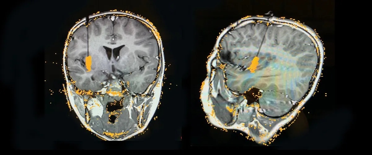
Laser Ablation Case Study: Insular Seizure Focus
An 18-year-old boy had been having drug-resistant epileptic seizures since he was just 2 years old. The seizure focus wasn’t identified via his original EEG, and he wasn’t considered a surgical candidate. The epilepsy team and Dr. Price re-evaluated him in 2019:
First stereo EEG: In 2019, Dr. Price performed a stereo EEG that revealed a tiny seizure focus in the insula, making the patient an ideal candidate for laser ablation.
First laser ablation: After the laser ablation procedure, his seizures were reduced by 50%.
Second stereo EEG: With the patient still having some seizures, Dr. Price and the epileptologists suspected the source was a complex network in the insula. She did another stereo EEG to confirm this hypothesis and identify other active regions.
Second laser ablation: In January 2021, he had his second laser ablation procedure that expanded the ablated lesion from the original treatment. He’s had very few seizures since.
“Because laser ablation is minimally invasive, it’s very easy for complex seizure patients to commit to a second procedure if needed,” Dr. Price says.
2. Small Brain Tumors
Children with small brain tumors that are 3 cubic centimeters or less can also be candidates for laser ablation. These children are typically asymptomatic, and the tumor is detected when the child has an MRI for another condition or head injury.
“In the past, the standard of care for tiny brain tumors typically would have been to use radiation therapy or wait until the tumor grows, which would make it possible to remove with open surgery and justify the risks involved,” Dr. Price says. “Laser ablation enables the patient to get treatment before the tumor grows and becomes a bigger problem.”
Laser Ablation Case Study: Brain Tumor
Dr. Price and the neurosurgery team at Children’s Health were planning a deep brain stimulation treatment for a 9-year-old boy when they incidentally detected a small frontal brain tumor that had grown from previous MRI images.
For this patient, the workup and treatment included:
A biopsy procedure to take samples of the tumor.
Discussing the diagnosis and treatment plan with a multidisciplinary tumor board to confirm laser ablation treatment was the best path forward.
Scheduling the laser ablation procedure about two weeks after the biopsy, which Dr. Price explains is a key step to ensure an optimal laser ablation procedure. “The laser doesn’t heat up liquid, including blood, allowing the patient two to three weeks to heal from the biopsy. However, it is reasonable to complete the biopsy and laser ablation at the same setting. This can simplify the care of the patient (recognizing the risks),” she says.
In July 2020, Dr. Price performed the laser ablation procedure.
The boy recovered on the neurosurgical floor and went home after 24 hours. On follow-up scans, the tumor hasn’t returned.
“Laser ablation was the most effective treatment for this patient,” Dr. Price says, “and it’s also the treatment that asymptomatic patients are most willing to do because of the easy recovery and low risk of complications.”
3. Atonic Seizures
For patients with drug-resistant atonic seizures, particularly when the lesion is small and in a deep, difficult region to access, an open corpus callosotomy has been the standard of care.
“The open procedure is very invasive. Patients typically spend two to three days in the ICU with a drain, then a few days on the neuro floor before going home. They also tend to have a stunned persona afterward and need rehabilitation,” Dr. Price explains.
In 2018, Dr. Price was among the first pediatric neurosurgeons in the nation to begin treating these patients with laser ablation.
“After a laser callosotomy, patients may not even go to the ICU, and if they do, it’s only for one night,” Dr. Price says. “A drain isn’t necessary for laser callosotomy patients, their hair is all intact, the incisions aren’t visible, and they’re speaking and interacting with their parents after the procedure. It’s a night-and-day difference compared to patients after the open procedure.”
Laser Ablation Case Study: Atonic Seizures
In 2018, Dr. Price performed one of her first laser callosotomy procedures for a 16-year-old boy with atonic seizures. But this wasn’t the first time she had treated this patient.
In 2014, she had performed an anterior two-thirds open callosotomy, which reduced full-drop seizures to about one per week, down from one every one to two days.
As the patient grew to be a 16-year-old who weighed 208 pounds, the full-drop seizures became more dangerous. That’s when the team determined he was a candidate for a one-third posterior callosotomy, and, this time, Dr. Price used laser ablation.
“With this procedure, his seizures were significantly reduced in frequency and severity,” Dr. Price says. “He’s down to one seizure per week, if that, and he rarely has full falls. It’s the best his seizures have ever been, and he had a dramatically easier recovery with just one night in the ICU before going home the next day.”
Why Children’s Health Neurosurgery
Children’s Health is home to some of the nation’s top neurosurgeons. Our team uses the most advanced tools and techniques to help children with even the most complex epilepsy and brain tumors to live happier, healthier lives.
“Providers often refer to our team when a patient hasn’t previously been considered a surgical candidate,” Dr. Price says. “That may be because of the size or location of the epilepsy focus or brain tumor, or because an epilepsy focus hasn’t been identified. We have the diagnostic capabilities, advanced treatment and multidisciplinary team to ensure the best outcomes possible.”
Learn more about the Center for Neurosciences at Children’s Health >>


